The Alma Hybrid and the Science of Skin Longevity
Skin longevity has emerged as a new benchmark in aesthetic medicine. Patients today seek more than superficial rejuvenation – they want skin that functions optimally, ages slowly, and maintains resilience over time. The Alma Hybrid fractional laser system, which combines ablative CO2 (10,600 nm) and non-ablative 1570 nm wavelengths, provides an evidence-based platform for structural skin renewal, immune modulation, and long-term dermal remodelling.
Clinics in Australia and New Zealand looking for fractional CO2 laser suppliers or aesthetic laser distributors are increasingly drawn to systems like Alma Hybrid, which combine dual-wavelength technology with strong clinical evidence.
The Biology of Skin Ageing
Intrinsic ageing and extrinsic factors such as UV radiation, pollution, and inflammation contribute to:
- Collagen and elastin degradation
- Fibroblast senescence
- Thinning of the dermis and epidermis
- Impaired immune regulation
Fibroblasts, the key producers of extracellular matrix (ECM) components, become less active over time, leading to decreased skin thickness, elasticity, and repair capacity (Quan et al., 2004; Varani et al., 2006). Chronic inflammation—especially mediated by T-helper 17 (Th17) cells—further skews wound healing toward fibrosis rather than regeneration (Wynn, 2008). Regulatory T cells (Tregs) help suppress excessive inflammation and promote regenerative healing (Nosbaum et al., 2016). The heat shock protein HSP70 enhances the suppressive capacity of Tregs, shifting the immune response in favour of tolerance and repair (Calderwood et al., 2007).
For medical aesthetics clinics in Australia, sourcing clinic-grade laser equipment that addresses ageing at a cellular level is now essential for growth and patient retention.
Dual-Wavelength Approach to Regeneration

The Alma Hybrid delivers two synergistic wavelengths:
| Wavelength | Mechanism | Function |
| CO2 (10,600 nm) | Ablative Fractional Laser (AFL) | Removes damaged epidermal tissue, initiates mechanical remodelling of dermal collagen; increases collagen production. |
| 1570 nm | Non-Ablative Fractional Laser (NAFL) | Heats the dermis to stimulate fibroblasts, induce HSP70, and remodel the ECM without compromising the epidermis; increases elastin production. |
This dual approach provides both immediate resurfacing and long-term dermal regeneration. The ablative laser vaporises micro-columns of tissue, promoting epidermal turnover and texture refinement (Hultman et al., 2012). The non-ablative wavelength penetrates deeply into the dermis, creating zones of coagulation to activate fibroblasts, increase collagen synthesis, and upregulate heat shock proteins such as HSP70 (Said et al., 2021; Calderwood et al., 2007).
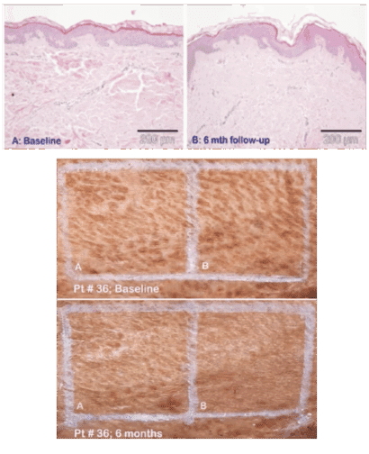
In addition to these known mechanisms, non-ablative fractional laser treatment has been shown to induce clinical and histological normalisation of scar tissue, even in mature burn scars. A randomised controlled trial using 1540 nm Erbium Glass laser demonstrated sustained improvements in scar texture, appearance, and collagen organisation (Taudorf et al., 2015).
Furthermore, studies comparing AFL and NAFL have demonstrated distinct yet complementary tissue effects: AFL (CO₂) shows superior capacity to induce collagen production, while NAFL (1570 nm) more effectively stimulates elastin production (Paasch & Said, 2020). This makes their combination particularly powerful for comprehensive skin quality restoration.
Clinics exploring fractional CO2 laser suppliers in Australia or laser distributors in New Zealand are increasingly prioritising platforms that combine ablative and non-ablative wavelengths for comprehensive results.
Thermal Gradients and HSP70 Upregulation

Thermal Gradients & HSP70 Upregulation
The upregulation of HSP70 depends heavily on the presence of a temperature gradient, which is why heat-inducing laser wavelengths are desirable in this application. Fractional laser treatments generate this gradient by delivering energy that heats the dermis while allowing surrounding tissue to remain unaffected. This thermal contrast acts as a biological stress signal, prompting cells to express protective proteins like HSP70. The controlled, non-lethal heat stress activates repair pathways without triggering excessive inflammation, optimising regenerative outcomes (Calderwood et al., 2007). A combination of AFL and NAFL enhances this gradient, amplifying the HSP70 response and supporting tissue remodelling.
When sourcing TGA-approved laser devices or class 4 medical lasers in Australia, clinics are now focusing on systems that reliably upregulate heat shock proteins to promote skin longevity.
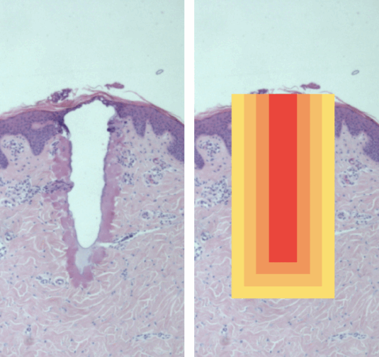
Mechanical Remodelling with CO2 Laser

Ablative fractional lasers not only provide visible skin resurfacing but also exert mechanical forces that stimulate downstream biochemical cascades. The CO2 laser’s micro-ablative columns induce controlled thermal injury, which results in:
Mechanical Effects:
- Disruption and redistribution of disorganised collagen fibres
- Reduction of contracture and modulation of tensile forces
These mechanical effects initiate key biochemical responses, including:
- Upregulation of Heat Shock Proteins (especially HSP70)
- Increased expression of Transforming Growth Factor Beta (TGF-β)
- Activation of Matrix Metalloproteinases (MMPs) and Vascular Endothelial Growth Factor (VEGF)
Expression of neuropeptides that influence nerve regeneration and tissue repair
This mechanotransduction effect is essential for remodelling hypertrophic scars, restoring functional tissue structure, and promoting regeneration over fibrosis (Hultman et al., 2012; Alster & Lupton, 2007).
Many skin resurfacing laser suppliers now highlight CO2’s ability to deliver both mechanical remodelling and biochemical activation, making it a must-have in aesthetic devices across Australia and New Zealand.
Sequential Mode and Dual-Laser Delivery

Recent research supports the use of sequential dual-laser application, where ablative CO2 (10,600 nm) and non-ablative 1570 nm wavelengths are delivered in sequence, rather than simultaneously or separately. A preclinical study in a porcine model compared this dual-sequential approach to single-wavelength applications and found that it produced superior outcomes both clinically and histologically. Specifically, sequential mode led to deeper and more uniform coagulation zones, improved collagen remodelling, and greater epidermal preservation (Said et al., 2021). These findings suggest that sequential application may offer a more efficient and biologically effective method for achieving regenerative outcomes—leveraging the distinct advantages of each wavelength while optimising tissue response through temporally controlled delivery.
Clinics working with aesthetic laser distributors in Australia or laser device suppliers in New Zealand often prioritise platforms with dual-laser delivery for broader ROI and greater treatment versatility.
Cellular Reprogramming and Homeostasis

In chronically inflamed, scarred, or aged skin, fibroblasts often exhibit abnormal gene expression—producing disorganised collagen, pro-inflammatory mediators, or entering senescence. The Alma Hybrid’s fractional laser technology applies controlled thermal and mechanical stress, which stimulates cellular reprogramming through pathways involving HSP70, TGF-β, and matrix remodelling enzymes. This effect helps shift dysregulated cells toward a normalised phenotype, characterised by balanced cytokine expression, structured collagen synthesis, and regulated wound healing (Calderwood et al., 2007; Said et al., 2021;Taudorf et al., 2015). In essence, Hybrid treatments help restore order where chronic disruption has occurred.
Procurement managers evaluating fractional CO2 suppliers in Australia or aesthetic laser distributors in New Zealand value devices like Alma Hybrid for their proven ability to drive cellular reprogramming and optimise long-term outcomes.
HSP70: A Key to Skin Resilience

HSP70 plays a key role in the modulation of inflammation and tissue repair. Its upregulation:
- Enhances Treg suppressive function
- Reduces excessive Th17-driven inflammation
- Supports regeneration over fibrosis
Laser-induced HSP70 expression contributes to improved wound healing and scar remodelling (Calderwood et al., 2007). This is particularly relevant in conditions such as acne scarring, post-surgical healing, and photoaged skin.
Advanced class 4 medical lasers for skin treatments that reliably stimulate HSP70 pathways are increasingly sought after by aesthetic clinics in Australia and NZ.
Clinical Applications

The Alma Hybrid enables:
- Treatment of mature scars (acne, surgical, traumatic)
- Prevention of poor healing through early laser intervention
- Skin priming before aesthetic or surgical procedures
- Textural and structural rejuvenation in ageing skin
Protocols can be customised based on patient needs, skin type, and downtime tolerance. Multi-session regimens (e.g., 2-3 treatments spaced 4–6 weeks apart) support sustained collagenesis and long-term skin quality improvements.
For clinics searching for skin resurfacing laser suppliers in Australia or New Zealand, Alma Hybrid offers unmatched versatility for both regenerative and aesthetic applications.
Strategic Value for Clinics

Prioritising skin longevity:
- Positions the clinic as a regenerative, science-led practice
- Enhances outcomes across other modalities (e.g., injectables, surgery)
- Increases patient satisfaction and long-term retention
- Builds a loyal, results-driven client base
Partnering with leading aesthetic laser suppliers in Australia and New Zealand allows clinics to integrate technologies like Alma Hybrid, securing a future-proof investment with strong patient demand and commercial return.
Conclusion
The Alma Hybrid fractional laser represents a biologically sophisticated approach to skin health. By combining epidermal renewal with deep dermal regeneration and immune modulation, it enables clinicians to go beyond aesthetics and into the realm of long-term skin quality and resilience.
